医霸荐读!正常胎儿心脏超声解剖
【知识概述】
1. 近年来,随着超声诊断仪器分辨力的提高,胎儿心脏结构的显示及胎儿心内血流动力学的信息越来越丰富,使得许多先天性心脏畸形在胎儿期即可明确诊断。胎儿超声心动图检查可在妊娠16周进行,22~24周时容易获得最满意的图像;在某些情况下(如胎儿染色体异常等)可提前至14周以排除比较严重的心血管畸形。


2.正常胎儿心脏解剖特点:胎儿心脏位于左侧胸腔,心尖指向左侧。心脏长轴与胸骨脊柱连轴约成45°角。心胸面积比(AC/AT)为0.25 ~ 0.35,心胸周长比(CC/ CT)为0.46 ~ 0.58。右房与左房大小接近,右房略大于左房。右室与左室大小相近,左室壁光滑,右室壁粗糙,右室内可见调节束。二三尖瓣大小亦非常接近,三尖瓣略大于二尖瓣。左房内可见卵圆孔开放。
3. 一套完整的胎儿超声心动图检查需要三种方法:①二维超声心动图;②M型超声;③多普勒超声。
【超声征象】
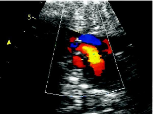
1.二维超声心动图
①胎儿心动图扫查应包括六个基本切面:a.心脏四腔心切面;b.左室流出道切面;c.右室流出道切面;d.主动脉、肺动脉长轴切面;e.主动脉弓与肺动脉弓(动脉导管弓)切面;f.三血管切面。除了上述六组基本切面外,其它常见的心血管切面也应进行检查,包括左右室短轴切面、左右心房短轴切面、主动脉五腔切面等。


②正常情况在胎儿期,肺动脉横径要略大于主动脉横径为15% ~ 20%。主动脉弓呈“拐杖头” 状,并可清晰地分辨出三条分支动脉。肺动脉包绕着主动脉,动脉导管弓切面上可以反映右室流出道,主肺动脉及其左、右肺动脉分支,动脉导管与降主动脉的关系。上、下腔静脉回流进入右心房。上、下腔静脉管径大小相近。
2.M型超声
M型超声最常用于观察胎儿心律失常。在二维超声的基础上,将M 型取样线穿过心房、心室,可以间接测量心脏各腔室的大小。当M 型取样线同时依次穿过心房、心室的时候, 可以了解心肌活动能力,并可判断心律失常的类型。


3.多普勒超声
①二尖瓣和三尖瓣取胎儿四腔心切面,通过彩色多普勒观察二尖瓣及三尖瓣口正常纯蓝或纯红血流信号(取决于探头与心尖的方向)。频谱多普勒显示二、三尖瓣口的血流频谱,与正常人不同的是,胎儿二、三尖瓣口血流E峰<A峰。
②主动脉及肺动脉主动脉和肺动脉的多普勒频谱显示为收缩期的上升单峰层流,主动脉血流速度大于肺动脉,但频谱较窄。
③卵圆孔取胎儿四腔心切面,彩色多普勒显示卵圆孔处血流信号为房水平右向左分流。


④动脉导管取动脉导管弓切面,彩色多普勒显示主肺动脉内的血流通过动脉导管延续为降主动脉血流。频谱多普勒显示动脉导管的收缩期峰值流速明显高于肺动脉,且舒张期动脉导管血流呈波峰状。
⑤上、下腔静脉取三血管切面,彩色多普勒显示上腔静脉与主动脉及肺动脉的血流彩色相反,下腔静脉则与主动脉及肺动脉的血流彩色相同。


【点评】
1.进行胎儿超声心动图检查首先必须要有良好的心脏解剖基础,其次还要掌握产科检查胎儿方位的基础知识。胎儿在母体内是头位还是臀位,胎儿脊柱是在母体腹侧还是背侧,方向是向左还是向右,这对判断心脏位置非常重要,特别在诊断内脏反位的心脏异常时有着重要的意义。
2. 用于胎儿超声心动图检查的探头包括成人心脏探头、小儿心脏探头、成人腹部探头,经腹三维容积探头等。心脏探头频率范围1 ~ 5 MHz,腹部探头频谱范围2 ~ 5 MHz,小儿心脏探头3 ~ 8 MHz。一般建议在中孕早中期使用较高频率(5 ~ 8 MHz)的探头以提高分辨率,在中孕晚期和晚孕期使用较低频率(1 ~ 5 MHz)的探头克服声窗的限制尽可能获得更多的诊断切面。
更多专业知识!请关注微信公众号“超声掌中宝”
标签:
130
新国标红绿灯图解+常见误解汇总,建议收藏 你开车上路有没有碰见新国标红绿灯? 其实,早在2017年7月,新国标红绿灯就已经出现了部分地区试点,包括在南京、上海、湘潭及安徽蚌...
162
听歌说诗词:《如梦令·昨夜雨疏风骤》(李清照) 昨夜雨疏风骤,浓睡不消残酒。 试问卷帘人,却道海棠依旧。 知否,知否?应是绿肥红瘦! 李清照,无疑是中华文化浩繁星空中最闪...
134
神仙爷爷(民间故事) 话说公元1920年,还是封建社会的时候,那个时候的农村呢,还很落后,赌博盛行。 我的爷爷叫高线,当时也就20出头的年纪,因为沉迷赌博,败光了所有家当,...
175
什么是新风系统,看这一篇就够了 欢迎各位小伙伴来到本期的中央播报,相信大家都对即将推出的带新风的中央空调蠢蠢欲动、两眼发光了吧! 对新风系统不了解?不用慌! 现在就隆...
169
去重庆必点的7道渝菜,是“渝菜之魂”,老板都以为你是重庆人 重庆人爱吃辣人人皆知,重庆菜也叫渝菜,是川菜的四大分支之一,它是在“老川菜”的基础上融入当地特色, 以麻辣...
113
318国道川藏南线路况 路况难度: 318国道川藏南线路况复杂、险峻,沿途要翻越横断山脉14座海拔4000米以上的高山,尤其是邦达至八宿的“魔鬼路段”最为险峻。每到雨季这些路段经常...
178
中国九大名剑!干将莫邪只能排第九,天下第一剑唯一传人亮相河南 你知道吗?众所周知的干将莫邪竟只能排在中国古代名剑最末位,救了一个国家的太阿剑只能排第四,所以到底谁能...
212
汪小菲与安以轩绯闻5年,为什么最后却是她的闺蜜大S嫁给了汪小菲 在娱乐圈中,闺蜜之间同时喜欢一个男人的事情并不是少见的,就比如我们今天所讲的,汪小菲与安以轩绯闻5年,最...
186
什么样的家庭算是中产家庭?中国又到底有多少中产阶级? 在当前的中国社会中,中产家庭已成为一个备受瞩目的群体。这些家庭通常以稳定的收入、较高的生活质量和对教育的重视而...
129
日落西山你不陪,东山再起你是谁,妻子想复婚,丈夫的话让她哑言 有一句话叫“日落西山你不陪,东山再起你是谁?”这句话就是给很多昔日不愿意陪伴的人所说的一句忠告。这句忠...
191
人文长治之十二: 沁水之源 沁源 沁源,因沁水之源头得名。北魏孝庄帝(元子攸)建义元年,(公年528年)始置沁源县。县域位于山西省中南部,东连沁县,南接屯留、安泽县,西邻霍...
208
清明时节雨纷纷,鹰潭人做麻叶果最全教程!麻叶果=乡愁 清明节即将到来,没到这个时候,祭奠亲人的情感格外的浓重。 而在这个弥漫着浓浓思念的季节里,麻叶果无疑是那把打开无...
89
医学生专属表情包走红 广东高校医学生学习斗图两不误 [闽南网] “头发只剩一根的小人”“医学生专用X光点赞手势”“‘战战兢兢’打外科结的小猫”“宿舍楼下学习的‘学霸猫’...
146
五一最值得去的中国15大景点,去过一半人间值得,你去过几个 五一假期将至,是时候踏上旅途,探寻那些令人心驰神往的美景了。这 15 大景点,各具特色,定会让你的假期充满惊喜与...
206
三伏天吃狗肉,初伏来了,你适合吃狗肉吗? #每日医聊##清风计划# 传统吃三伏狗的习俗文化: 什么是三伏?三伏是一年中最闷、最热的三、四十天,三伏是按农历计算的,是指初伏、...
197
谍战剧《追踪者》徐洪浩、刘晓洁、关亚军、周惠林、王韬等主演 #我的追剧分享#《 追踪者 》是一部充满悬疑和紧张气氛的 年代谍战电视剧 ,由 徐洪浩 、 刘晓洁 、 关亚军 、 周惠...
197
王希玲:德艺双馨的豫剧表演艺术家 中国网郑州1月14日电 “有真意,去粉饰,少做作,勿卖弄。”鲁迅先生的这句名言不但是我做戏,做文章的准则,更是我做人的准则。王希玲如是...
83
刘德华年轻时的罕见照:颜值巅峰的他,每张照片都藏着一个故事 在娱乐圈,很长一段时间,当谁红起来时,人们喜欢说的一句话是, 你再红,能红过刘德华? 刘德华被称为“常青树...
167
金高银广告大片出炉,短发造型,清爽干练,网友直呼:太美了 关注@简约风时尚,每天离时尚更近一点! 近期,韩国服饰品牌 Mind Bridge 官网更新了一组广告大片。 由品牌代言人金高...
98
当心!最近95开头的骚扰电话有点“泛滥”!究竟是谁打来的? 近日 不少市民反映 自己被营销电话骚扰 都是以95开头的 有推销房产的 有推销游戏的 还有推销信用卡、股票的 这类电话...