同心圆及套筒征:小儿肠套叠的典型超声图像

吴雪松 孙建霞,战略支援部队特色医学中心(原306医院),超声诊断科
医研部医学科普中心 编辑
小儿肠套叠是儿科常见病,发病年龄多在0~2岁,4~10个月婴儿多见,男性患儿发病率高于女性患儿。
肠套叠是指部分肠管及肠系膜套入临近肠腔而引起的肠梗阻,多为近端肠管套入远端肠腔致使套入肠管壁水肿、受压淤血、严重者发生肠管坏死。
肠套叠分为原发性和继发性,95%为原发性,套叠肠管及附近没有器质性病变,5%继发于肠管的器质性病变,如梅克尔憩室、肠重复畸形、肠管息肉、腹型紫癜等。
诱因:(1)各种原因导致的肠痉挛、肠管功能紊乱;(2)婴幼儿回盲部肠系膜不固定,系膜过长,松弛、回盲部高位、游动度大;(3)回盲部肠系膜淋巴结肿大,回盲末段集合淋巴小结增生肥厚。
病理:套叠肠管横断面有三个筒,外筒为鞘部,中筒、内筒为套入部(图1、2)。外筒与中筒以黏膜面相接触,中筒和内筒以浆膜面接触,由于鞘部肠管持续痉挛,使套入部分肠管出现血运障碍,表现为淤血性坏死,同时鞘部肠管因强烈痉挛及扩张而发生缺血性坏死,易穿孔。

肠套叠分型:(1)回盲型,最多见,约占50%~60%,回盲瓣为肠套叠头部,将回肠末端带入升结肠,盲肠、阑尾、淋巴结等也随着套入结肠内;(2)回结型,约占30%,回肠末端穿过回盲瓣进入结肠;(3)回回结型,回肠先套入远端回肠内,然后再整个套入结肠内;(4)小肠型,小肠套入小肠;(5)结肠型,结肠套入结肠;
临床表现:典型表现为腹痛、阵发性哭闹、果酱样大便、腹部腊肠样包块,继发梗阻时出现呕吐等肠梗阻症状,部分小婴儿无哭闹而表现为精神弱、表情淡漠。
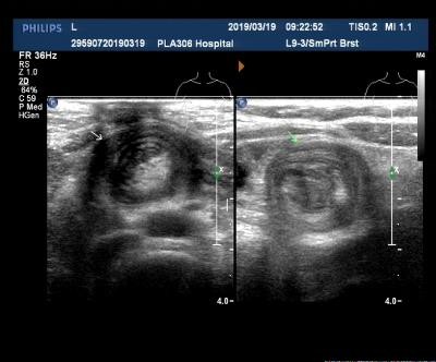
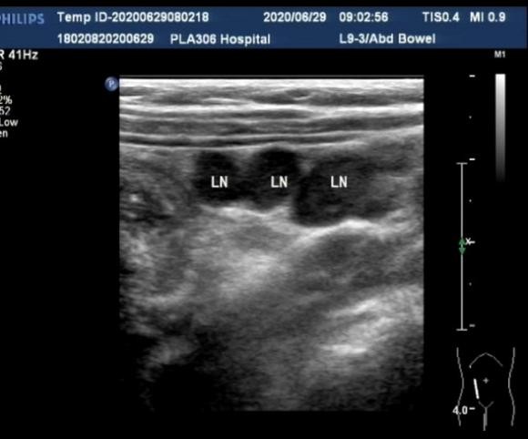
超声表现:腹部可探及包块,横断面呈多层"同心圆"征(图3),纵断面呈多层肠管平行排列的"套筒"征(图4),超声多普勒检查提示包块内血流信号呈点状散在分布(图5);或观察到动静脉频谱,提示肠管受压的症状轻,循环良好,包块内未显示血流信号或血流信号稀少,提示肠管可能存在缺血坏死的症状。部分患儿包块及周围肠系膜内可探及增大的淋巴结(图6)。

图3. 肠套叠横切同心圆征

图4. 肠套叠纵切套筒征

图5. 肠套叠横切彩色血流超声图像

图6. 肠套叠周围肠系膜肿大淋巴结图像
治疗:空气灌肠是早期肠套叠有效的治疗手段。在患儿患病的24小时内确诊并采用空气灌肠者肠复位率高,是小儿肠套叠首选的非手术治疗方法。小儿肠套叠时间较长(>24小时)且病情严重者,根据情况可采取手术治疗。
小儿肠套叠是比较常见的外科急腹症,发病迅速,对幼儿危害极大,如不及时治疗,可能引起幼儿肠坏死、穿孔,严重者可引起腹膜炎症,中毒性休克,甚至危及生命。如能早期诊断,在发病48小时内灌肠整复成功率高,故早期诊断小儿肠套叠至关重要。超声对小儿肠套叠的诊断准确率高,具有典型特征,无创伤、重复性强、是临床诊断小儿肠套叠的首选影像学方法。
(配图来源于网络)
标签:
182
炉石传说更名萨满英雄传?萨满得史诗性增强,战吼萨卡组剖析 各位朋友大家好,我是面条。不知道新版本上线之后大家有没有欧气爆棚,开出自己想要的卡牌,反正面条相信自己已经...
176
2026世界杯冠军终极预测:五大热门+三大黑马!谁能问鼎? 2026年世界杯将由美国、加拿大、墨西哥三国联合举办,48支球队的扩军赛制让竞争更加扑朔迷离。从传统豪门到新兴势力,谁...
129
中国只有长津湖战役胜利之日!过平安夜,圣诞节是忘本,耻辱! 12月24日是长津湖战役胜利的日子!过平安夜,圣诞节都是崇洋媚外,忘本,耻辱! 长津湖战役:铭记历史,珍惜现在...
164
这是1927年,民国时期,“裸刑”处决的现场赤身裸体跪着一名女子 1927年,民国时期的悲哀:骆刑现场的冰冷与绝望 在1927年的中国,社会动荡不安,军阀割席分权,各地政权如同秋风...
151
孙权 孙权是三国时期的重要人物,他是东吴的建立者和统治者。 孙权出生于公元182年12月22日,逝世于公元252年5月21日,享年71岁。 家世:他出生于吴郡富春(今浙江杭州富阳区),父...
179
国家不死,卧龙不出,是真的吗? “郭嘉不死,卧龙不出”这一说法并非出自正史,而是后世文学创作和民间传说中对三国谋士郭嘉与诸葛亮关系的戏剧化演绎。这一说法主要基于以下...
53
90后贪腐落马干部又刷新纪录!1994年生,22岁就开始套取扶贫资金 “90后”年轻干部的贪腐行为一直颇受关注,今年8月,贵州“90后”女干部张艺涉嫌贪污被提起公诉的新闻一度引起舆...
153
走进县城看发展:河北省张家口市康保县 #头条创作挑战赛# 走进县城看发展: 今日分享:河北省张家口市康保县 康保县简介 康保县地处河北坝上西北部,县境东、北、西三面与内蒙古...
76
揭露美国棱镜计划,仓皇逃窜9年,入籍俄罗斯,斯诺登现状如何 在21世纪的今天,信息安全已经成为了全球关注的焦点。而在这个领域,有一个人的名字始终无法被忽视,他就是前美国...
135
华为目前最棒的五款手机,无愧遥遥领先,你们认为哪款最好。 大家好,我是海韵,在2025年的智能手机市场中,华为手机凭借其卓越的性能、创新的技术和出色的设计,依然占据着举...
186
杨采钰:内娱第一大美女,又纯又欲,甜度爆表! 杨采钰,出生于湖北省武汉市,是中国内地备受瞩目的影视女演员、歌手和主持人。她于1992年9月28日来到这个世界,从小就展现出了...
145
好看的锁屏壁纸 iPhone手机壁纸 一张好看的锁屏壁纸,不仅能为你的手机增添美感,还能让每次解锁都成为一种愉悦的享受。以下是一些选择好看锁屏壁纸的建议: 高清画质 :确保壁纸...
129
全球现役最强三代重型战机排名榜,中国几款上榜? 第三代重型战斗机作为现代空战的主要力量,目前全球也只有中美俄三个超级大国能设计制造,研制三代重型战机必须具备完善的重...
176
日剧日影推荐丨8部让人上头的甜甜师生恋日影推荐 日影推荐: 1、《老师,我可以喜欢你吗!》 【本人已二刷,全程甜齁死人,真的少女心炸裂。生田斗真和广濑丝丝不用多说了,给...
165
2024年10月动漫新番盛宴,你绝不能错过的精彩汇总! 10月新番汇总 【2024年10月动漫新番大赏】来啦!动漫迷们,你们准备好了吗?✨ 【热血战斗篇】 - 《死神千年血战篇-相克谭-》 :...
116
利润吓人的8个冷门行业!...
79
你一定去过玉龙沙湖,那你知道翁牛特的勃隆克沙漠吗? 勃隆克沙漠旅游区位于赤峰市翁牛特旗乌丹镇境内,科尔沁沙地西缘,距赤峰市120公里,是集沙漠、草原、奇山、怪石、湖泊、...
150
情侣相处的6个阶段,你现处于哪个段? 当涉及情侣相处时,有许多不同的阶段和里程碑。以下是情侣相处的6个阶段的案例: 1. 相识与吸引阶段:这个阶段通常发生在两个人刚刚认识的...
159
三十年陪伴未成眷属:胡兵与瞿颖的情感纠葛 在娱乐圈的浮华背后,总有一些故事让人唏嘘不已。胡兵与瞿颖,这对相识于青春年少的搭档,共同走过了三十年的风风雨雨,却始终未能...
86
新编拜新年要红包压岁钱顺口溜,祝你如鱼得水,发、发、发… 万水千山总是情,给个红包好不好? 掌声越响亮红包到天明。 一块两块是心意,一百两百人缘好啊。 若是您老不...